[if lt IE 7]> hs.graphicsDir = '../siteParts/graphics/'; hs.outlineType = 'rounded-white'; hs.wrapperClassName = 'draggable-header';
 
Normal Lab Values
-->

Nervous System Pathology Part 1- Readings from Robbins Basic Pathol, 10th ed. (equivalent readings in 9th ed. in parentheses)

 
by TUESDAY
   
 
pages
topics
     
ALL Lab Sections

pp 255 - 60 (9e:228-233)

     
 
pp 849 - 850 (9e:820 - 822)
     
 
pp 857 - 860 (9e:824 - 842)
     
 
pp 862 - 880
     

Case assignments by lab group and class day:

  TUESDAY THURSDAY
Labs 1, 2, & 3
Labs 4 & 5

 

CASE NUMBER 504
(no virtual slide for this case)

Clinical History: A 25-year-old woman presented to her primary care physician with a one-week history of blurred vision in her left eye. She stated that it was painful to move that eye. She grew up in Minnesota and has smoked one-half of a pack of cigarettes/day for the last 7 years. Further questioning reveals that she had unilateral tingling on her left side in the two weeks before her wedding 3 years ago.  CSF analysis showed mildly elevated protein and moderate pleocytosis. MRI revealed multiple hypointense lesions and FLAIR (fluid-attentuated inversion recovery) MRI showed multiple supratentorial lesions. When the patient learned of her possible diagnosis, she returned home and took an overdose of sleeping pills. Gross and microscopic images of the autopsy are provided.

Image Gallery:


(Summary of Imaging Findings - click here)

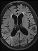
MRI shows multiple white matter lesions in the corpus callosum, subcortical U-fibers, temporal lobes, brainstem, cerebellum and spinal cord.

(Summary of Gross Findings - click here)

There were multiple well circumscribed somewhat depressed lesions in the white matter. A depressed, tan area representing a sclerotic plaque is seen here adjacent to a cerebral ventricle. A coronal section through the cerebrum has been stained with luxol fast blue/hematoxylin and eosin which stains the myelinated white matter blue and the cortex pink. There are multiple plaques of demyelination.

(Summary of Microscopic Findings - click here)
A low power image of a luxol blue-stained section shows a circumscribed demylenated lesion. A high power microscopic image of white matter stained with luxol fast blue & eosin illustrates absence of myelin. The adjacent image stained with Glees silver stain illustrates that individual axons are intact.

 

504-1. What is the differential diagnosis?

ANSWER

 

504-2. The lesions in this disease are caused by an immune response directed against which of the following?

  1. Amyloid precursor protein
  2. Aquaporins
  3. Huntingtin
  4. Myelin sheath
  5. Substantia nigra

ANSWER

 

504-3. The patient has an identical twin. Which of the following MOST CLOSELY approximates her risk for developing the same disease?

  1. <1%
  2. 25%
  3. 50%
  4. 66%
  5. 75%
  6. 100%

ANSWER

 

504-4. Which of the following is typically seen in the CSF of patients with this disease?

  1. Abundant red blood cells
  2. Decreased protein level
  3. Myelin
  4. Oligoclonal bands
  5. PrPsc

ANSWER

 

 

CASE NUMBER 543 - slide courtesy of UMich, PhosphoTungstic Acid-Hematoxylin (PTAH) stain
[ImageScope] [WebScope]

Clinical History: A previously healthy 62-year-old man presents to his GP after noticing that his right hand trembles when he was at rest. His wife mentioned that his handwriting had become smaller and that when he walked his right arm swung less than his left. Physical exam revealed decreased facial expression and a reduced blink frequency. In addition, he had cogwheel rigidity bilaterally. Radiologic imaging was unremarkable and laboratory tests were within normal limits. The patient dies in an automobile accident. A section of his midbrain at autopsy is provided.

Imaging: MRI shows mild ventricular dilation. (Images from Meijer FJA, Goraj B (2014). Frontiers in Bioscience E6, 360-369.

Image Gallery:


(Summary of Imaging Findings - click here)

Axial T2 FLAIR MRI shows non-specific cortical atrophy with sulcal widening and enlargement of the lateral ventricles. (Image from Meijer FJA, Goraj B (2014). Frontiers in Bioscience E6, 360-369.)

(Summary of Gross Findings - click here)

A coronal section through the midbrain illustrates pallor of the substantia nigra. The midbrain of the patient is displayed on the right. A normal midbrain is shown on the left.

(Summary of Microscopic Findings - click here)
Histologic section of the sustantia nigra shows loss of pigmented neurons with pigment incontinence. Viable pigmented neurons contain eosinophilic cytoplasmic inclusions with a halo.

543-1. What is the differential diagnosis?

ANSWER

 

543-2. Which of the following is most likely to be the protein found in the neuronal inclusions seen in figure 3?

  1. α-synuclein
  2. Amyloid precursor protein
  3. Huntingtin
  4. Superoxide dismutase
  5. Tau

ANSWER

 

543-3. Which of the following is a component of first-therapy for this disease?

  1. Cholinesterase inhibitors
  2. Gabapentin
  3. L-DOPA
  4. Radiation
  5. Selective serotonin reuptake inhibitor

ANSWER

 

543-4. Which of the following is the term applied when dementia arises within 1 year of the onset of motor symptoms?

  1. Central pontine myelinolysis
  2. Frontotemporal lobar degeneration
  3. Krabbe disease
  4. Lewy body dementia
  5. Pick disease

ANSWER

CASE NUMBER 515
(no virtual slides for this case)

Clinical History: A 46-year-old man with a long history of alcohol abuse was brought to the emergency department by the police when he was found walking unsteadily and seemed confused. His speech was slurred and slow, though his blood alcohol was 0.01%. A mini mental status exam revealed that his short term memory was severely impaired. Physical exam revealed a right leg tremor and nystagmus. A cranial MRI was performed, but while the patient was still in radiology, when the patient tried get off of the gurney, he fell, hit his head on the floor and died.

Image Gallery:

(Summary of Radiographic Findings - click here)
MRI FLAIR imaging showed marked hyperintensity of the tectal region, periaqueductal area, mamillary bodies, and medial thalamic nuclei.
(Summary of Gross Findings - click here)
There are hemorrhages in the mammillary bodies which appear as petechiae.

515-1. What is the differential diagnosis?

ANSWER>

 

515-2. The constellation of symptoms shown by this patient is known as which of the following?

  1. Kwashiorkor
  2. Leigh syndrome
  3. Parkinsonism
  4. Ricketts
  5. Wernicke-Korsakoff syndrome

ANSWER

 

515-3. Which of the following typically develops late in this disease?

  1. Amnesia
  2. Ataxia
  3. Cognitive impairment
  4. Confusion
  5. Nystagmus

ANSWER

 

515-4. Which of the following is true regarding this patient’s symptoms?

  1. Ataxia rarely improves with appropriate treatment
  2. Confusion rarely improves with appropriate treatment
  3. Memory loss typically improves with appropriate treatment
  4. Nystagmus typically improves with appropriate treatment

ANSWER

 

515-5. In addition to alcoholism, in which of the following clinical settings is this disease process MOST LIKELY to arise?

  1. Chronic blood loss
  2. Gastric disorders
  3. Inborn error metabolism
  4. Obesity
  5. Renal disease

ANSWER

 

 

CASE NUMBER 301

Clinical History: A 10 year-old child boy travels with his family on a 4-week “eco-vacation” in Malaysia, backpacking in tropical and semi-tropical forests. They have no direct animal contact, but they are constantly exposed to mosquitos. One day prior to their return to the US, the patient begins to experience headaches, fevers, and chills. During the transcontinental flight, he becomes increasing disoriented and confused. Upon landing, the family rushes him to a local tertiary medical center. He was obtunded on admission.

 

Clinical History, Part 2 (click here)

 

Clinical History, Part 3 (click here)

 

301-1. What is the differential diagnosis?

ANSWER

 

 

 

CASE NUMBER 300

Clinical History: A 14-year-old girl is brought to the emergency department with a 1-day history of fevers and decreased consciousness. She had been well until the previous day when she awoke with left-sided headache, anorexia, fatigue, and subjective fevers. During the course of the day, her level of consciousness decreased. In the ED, her temperature is 38.8°C, and she is difficult to arouse. She resists neck flexion, but the remainder of her physical examination is unremarkable.

 

Clinical History, Part 2 (click here)

 

Clinical History, Part 3 (click here)

 

Clinical History, Part 4 (click here)

 

300-1. What is the differential diagnosis?

ANSWER

 

CASE NUMBER 503
(no virtual slide for this case)

Clinical History:  A mother brought her 3-month-old infant to the pediatrician because the child had been alternately crying inconsolably or lying down listlessly; vomiting for the last 3 days, and had a mild fever. Physical exam reveals cherry red maculas. CSF analysis shows elevated protein levels. Gene sequencing reveals a mutation in the alpha-subunit of hexosaminidase A.

Image Gallery:

(Summary of Clinical Findings - click here)
This ophthalmic exam shows a “cherry red” macula. Electron micrograph findings: These are cytoplasmic inclusions full of layered membranes.
 

 

503-1. What is the differential diagnosis?

ANSWER

 

503-2. This disease is classified as which of the following?

  1. Glycogenosis
  2. Mucopolylipidosis
  3. Mucopolysaccharidosis
  4. Sphingolipidosis
  5. Sulfatidosis

ANSWER

 

503-3. Which of the following is true regarding this disease?

  1. Boys are affected more commonly than girls
  2. Most patients recover full neurological function in their teens
  3. The “cherry red macula” is due to retinal hemangiomas
  4. There is an increased incidence in Ashknazi Jews
  5. These patients are at increased risk for colon cancer

ANSWER

 

 

 

NERVOUS SYSTEM PATHOLOGY Review Items

Key Vocabulary Terms (click here to search any additional terms on Stedman's Online Medical Dictionary)

agyria gemistocytic neuronophagia
AIDS dementia gliosis neuropathy
Alzheimer type II cell glomeruloid body  Nissl substance
amyloid angiopathy granulovacuolar degeneration open head injury
anencephaly herniation ophthalmoplegia
Antoni A pattern Hirano body pachygyria
Antoni B pattern holoprosencephaly pachymeningitis
arrhinencephaly hydranencephaly paresis
aseptic meningitis hydrocephalus parkinsonism
astrocytosis hydrocephalus ex vacuo peripheral nervous system (PNS)
ataxia kernicterus phakomatosis
Bergmann gliosis lacunar infarct  Pick body
central nervous system (CNS) Lafora body polymicrogyria
cerebral laminar cortical necrosis porencephaly
cerebral palsy (CP) leptomeningitis presenilin
cerebritis leukoencephalopathy prion
cerebrospinal fluid (CSF) leukomalacia prion protein (PrP)
cerebrovascular accident (CVA) Lewy body radiculitis
choreiform lissencephaly Rosenthal fiber
chromatolysis mad cow disease rosette/pseudorosette
closed head injury megalocephaly satellitosis
concussion meningitis schizencephaly
contrecoup injury meningocele  spina bifida
contusion meningoencephalitis spongiform
corpora amylacea meningomyelocele storage disease
coup injury meningovasculitis stroke
cranial microcephaly syringomyelia
dementia multiple sclerosis plaque tabes dorsalis
demyelination myelitis transient ischemic attack (TIA)
Duret hemorrhage myelocoele ulegyria
encephalitis   Negri body von Recklinghausen disease
encephalocele neuritic plaque Wallerian degeneration
encephalomyelitis neuritis watershed (border) zone
encephalopathy   neurofibrillary tangle  

LEARNING OBJECTIVES

  • Absolutely critical information you must know to practice medicine is in bold font.
  • Important information that will be needed for routine patient care is in regular font.
  • Information about less common diseases that you may encounter in clinical practice and that will probably appear on examinations is in italics
  1. Describe the morphology and function of the following CNS cells:
    • neurons
    • microglia
    • astrocytes
    • choroid plexus epithelial cells
    • oligodendrocytes
    • schwann cell
    • vacuolar myopathies
     

  2. Compare CNS myelin with PNS myelin, in terms of:
    • cells of elaboration
    • structure and function
    • reactions to injury and destruction
    • regenerative potential

  3. Discuss normal CSF in terms of:
    • sites of formation
    • circulation patterns
    • sites of absorption
    • pressure
    • glucose and protein levels
    • cell types present

  4. Describe the blood-brain barrier (BBB) in terms of:
    • physiologic definition
    • anatomic counterparts
    • morphologic alterations
    • areas of absence

  5. Describe the morphology and function of the following CNS cells:
    • central chromatolysis
    • coagulative necrosis
    • neuronophagia
    • caseous necrosis
    • axonal swelling
    • nerve regeneration
    • ischemic neuronal necrosis
    • segmental demyelination
    • gliosis
    • dysmyelination
    • liquefactive necrosis
     

  6. Compare and contrast the following types of cerebral edema and their significance:
    • cytotoxic
    • vasogenic
    • interstitial

  7. Compare and contrast the clinical findings and sequelae of herniation of the brain:
    • subfalcine (cingulate gyrus)
    • transtentorial (uncal)
    • foraminal (tonsillar)

  8. Correlate destructive lesions in specific areas of the CNS with corresponding functional consequences.

  9. Compare and contrast:
    • communicating hydrocephalus
    • non-communicating hydrocephalus
    • hydrocephalus ex vacuo

  10.  Describe the following congenital abnormalities and their clinical phenotype:
    • anencephaly
    • spina bifida/meningomyelocele
    • Chiari type I malformation
    • lissencephaly
    • Chiari type II (Arnold-Chiari) malformation
    • polymicrogyria
    • Dandy-Walker malformation
    • schizencephaly
    • holoprosencephaly
    • agenesis of corpus callosum
    • porencephaly
    • syringomyelia (syrinx)
    • encephalocele
    • hydromyelia

  11. Compare and contrast genetics, clinical presentation and pathology of inborn errors of metabolism:
    • Tay-Sachs disease
    • spina bifida/meningomyelocele
    • Chiari type I malformation
    • lissencephaly
    • Chiari type II (Arnold-Chiari) malformation
    • polymicrogyria
    • Dandy-Walker malformation
    • schizencephaly
    • holoprosencephaly
    • agenesis of corpus callosum
    • porencephaly
    • syringomyelia (syrinx)
    • encephalocele
    • hydromyelia

  12. Describe the effects of hypoxia/ischemia on the late gestational/perinatal brain, including the pathophysiologic mechanisms underlying the following:
    • hydranencephaly
    • ulegyria
    • germinal matrix hemorrhage
    • cerebral palsy (CP)
    • periventricular leukomalacia
     

  13. Discuss the clinical and pathologic features of the following processes:
    • cerebral contusion
    • subdural hematoma
    • diffuse axonal injury
    • subarachnoid hemorrhage
    • epidural hematoma
    • intracerebral hemorrhage

  14. Compare and contrast the clinical and pathologic features of CNS aneurysms:
    • saccular ("berry"
    • atherosclerotic
    • Charcot-Bouchard
    • mycotic

  15. Compare and contrast the clinical and pathologic features of CNS vascular malformations:
    • arteriovenous malformation
    • cavernous angioma
    • capillary telangiectasia

  16. List the ways in which hypertension may harm the brain.

  17. Compare and contrast the clinical and pathologic features of:
    • hypertensive encephalopathy
    • hypoxic encephalopathy
    • multi infarct dementia

  18. Compare and contrast the clinical and pathologic features of CNS infarcts:
    • nonhemorrhagic (pale, anemic)
    • hemorrhagic (red)
    • border zone (watershed)
    • incomplete
    • spinal cord

  19. Compare and contrast clinical presentations of infarcts in these vascular territories:
    • middle cerebral
    • vertebrobasilar
    • internal carotid

  20. Describe the interrelationship between hypotension and watershed infarcts.

  21. Explain the basis of the reperfusion theory of causation of hemorrhagic cerebral infarcts.

  22. Compare and contrast the clinical and pathologic features:
    • skull fracture
    • parencymal brain injury
    • vascular brain injury

  23. Compare and contrast open vs. closed head injury, complications and prognosis.

  24. Compare and contrast the clinical and pathologic features of the following  entities:
    • pyogenic meningitis
    • tuberculous/mycobacterial meningoencephalitis
    • viral meningoencephalitis
    • fungal meningitis
    • neurosyphilis
    • neuroborreliosis (Lyme disease)
    • rickettsial infection
    • protozoal infection

  25. List the common bacterial agents of acute pyogenic meningitis, and the age group that each most frequently affects.

  26. Compare and contrast the clinical and pathologic features:
    • brain abscess
    • subdural empyema
    • extradural abscess

  27. Compare and contrast the clinical and pathologic features of viral meningoencephalitis:
    • arboviral encephalitides
    • herpes simplex viral encephalitis
    • varicella-zoster viral encephalitis
    • cytomegalovirus (CMV) encephalitis
    • poliomyelitis
    • rabies
    • human immunodeficiency virus (HIV) infections
    • HIV meningoencephalitis (subacute encephalitis)
    • vacuolar myelopathy
    • progressive multifocal leukoencephalopathy (PML)
    • subacute sclerosing panencephalitis (SSPE)

  28. Discuss the clinical and pathologic features of the following prion diseases:
    • Creutzfeldt-Jakob disease (CJD)
    • variant CJD (vCJD, "mad cow" disease)
    • kuru
    • scrapie

  29. Compare and contrast the clinical and pathologic features degenerative diseases:
    • Alzheimer disease
    • olivopontocerebellar atrophy
    • Pick disease
    • Huntington disease
    • Parkinson disease
    • spinocerebellar degeneration
    • progressive supranuclear palsy
    • amyotrophic lateral sclerosis (ALS)
    • corticobasal degeneration
    • Friedreich ataxia
    • striatonigral degeneration
    • ataxia-telangiectsia
    • Shy-Drager syndrome
     

  30. Describe multiple sclerosis (MS) in terms of:
    • geographic distribution
    • etiology
    • age at onset
    • distribution of lesions
    • morphology
    • clinical course

  31. Discuss the following nervous system disorders:
    • kernicterus
    • carbon monoxide poisoning
    • acute ethanol intoxication
    • radiation damage
    • Parkinson disease
    • central pontine myelinolysis (CPM)
    • chronic ethanol abuse
     

  32. Discuss the clinical and pathologic features of the following nutritional disorders:
    • Wernicke encephalopathy
    • Korsakoff psychosis
    • neuropathic beriberi
    • subacute combined degeneration

  33. Explain the concepts of benign vs. malignant neoplasms of the CNS.

  34. Compare and contrast the clinical, pathologic, epidemiologic and genetic features of the following CNS neoplasms:
    • colloid cyst of third ventricle
    • meningioma
    • choroid plexus papilloma
    • hemangioblastoma
    • astrocytoma
    • chordoma
    • anaplastic astrocytoma
    • germinoma
    • pilocytic astrocytoma
    • pinoeblastoma
    • fibrillary astrocytoma
    • pineocytoma
    • glioblastoma multiforme
    • craniopharyngioma
    • oligodendroglioma
    • primary CNS lymphoma
    • ependymoma
    • neurofibroma
    • neuroblastoma
    • plexiform neurofibroma
    • ganglioneuroblastoma
    • schwannoma (neurilemoma)
    • ganglioneuroma
    • malignant peripheral nerve sheath tumor
    • ganglioglioma
    • medulloblastoma

  35. Compare and contrast the clinical, pathologic and genetic features of the following phakomatoses:
    • neurofibromatosis type 1
    • Sturge-Weber syndrome
    • neurofibromatosis type 2
    • ataxia-telangiectasia
    • tuberous sclerosis
    • von Hippel-Lindau syndrome

  36. Discuss the clinical and pathologic features of the  following disorders of the PNS:
    • myasthenia gravis
    • diabetic neuropathy
    • Guillain-Barrẻ syndrome
    • Refsum disease
    • herpes zoster (shingles)
    • paraproteinemia-associated neuropathy
    • hereditary neuropathies
    • spinal muscular atrophy
    • AIDS-associated peripheral neuropathy
    • compression neuropathy
    • hereditary motor & sensory neuropathy (HMSN)
    • traumatic neuroma
      • type I [Charcot-Marie-Tooth disease (CMT) 1]
    • plantar (Morton) neuroma
      • type III (Dejerine-Sottas disease)
     

 

 

 

 

Click here to submit questions or comments about this site.